So erreichen Sie uns

phone.svg

Rufen Sie uns an:

mail.svg

Schreiben Sie uns:

[protected email address]

open.svg

Unsere Öffnungszeiten:

Mo. - Fr. 08:00 - 17:00 Uhr

  • 001--124478886.jpg
  • 002--403626769.jpg
  • 003--517401444.jpg

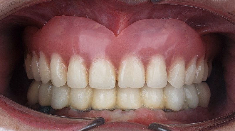
Prothetik

Moderne Zahnprothetik: Funktionalität und Ästhetik für Ihr Lächeln

Die Zahnprothetik bietet Lösungen zur Wiederherstellung verloren gegangener Zähne, wie herausnehmbare Prothesen, festsitzende Brücken und Implantate. Diese Versorgungen werden individuell angepasst, um die natürliche Zahnfunktion und das Erscheinungsbild zu rekonstruieren. Moderne Materialien wie Keramik und Zirkon bieten hohe Ästhetik und Langlebigkeit, verbessern die Kau- und Sprachfunktion und fördern das Wohlbefinden und Selbstvertrauen der Patienten. Fortschrittliche Techniken ermöglichen maßgeschneiderte Lösungen für nahezu jede zahnmedizinische Herausforderung.


Die moderne Zahnprothetik vereint Funktionalität und Ästhetik, um die Lebensqualität der Patienten erheblich zu verbessern.

Mit individuell angepassten Lösungen sorgt sie für ein natürliches Aussehen und eine optimale Wiederherstellung der Zahnfunktion, was zu mehr Wohlbefinden und Selbstvertrauen führt.


Totalprothetik

Unsere Totalprothetik bietet eine umfassende Lösung für Patienten, die einen vollständigen Ersatz aller Zähne benötigen. Durch präzise Anpassung an die individuelle Mundstruktur und hochwertige Materialien gewährleisten wir nicht nur eine optimale Passform, sondern auch eine natürliche Ästhetik und Funktionalität.

Vorteile

  1. Maßgefertigte Anpassung für höchsten Komfort und Stabilität.
  2. Hochwertige Materialien für langanhaltende Haltbarkeit und natürliche Zahnästhetik.
  3. Wiederherstellung der Kaufunktion und Ästhetik für ein strahlendes Lächeln.
  4. Umfassender Service von der Beratung bis zur Nachsorge für eine optimale Betreuung.
  5. Individuelle Lösungen, die den spezifischen Bedürfnissen jedes Patienten gerecht werden.

Allergiefreier Kunststoff

Unser allergiefreier Kunststoff bietet eine innovative Lösung für Patienten mit empfindlicher Haut oder bekannten Allergien gegen bestimmte Materialien. Durch die Verwendung hypoallergener Materialien gewährleisten wir nicht nur maximale Verträglichkeit, sondern auch eine äußerst komfortable Anwendung im Mundraum.

Vorteile

  1. Verwendung hypoallergener Materialien für maximale Verträglichkeit.
  2. Komfortable Anwendung im Mundraum für ein angenehmes Tragegefühl.
  3. Langlebige und beständige Materialien für langfristige Nutzung.
  4. Vielfältige Anwendungsmöglichkeiten in der Zahntechnik.
  5. Individuelle Anpassung für jeden Patienten.

Interimsersatz

Unser Interimsersatz bietet eine temporäre Lösung für Patienten, die Zahnlücken haben oder aufgrund von Zahnextraktionen vorübergehend ohne Zähne sind. Diese provisorischen Versorgungen dienen dazu, die Ästhetik und Funktion des Gebisses während der Behandlung wiederherzustellen, bis eine dauerhafte Lösung gefunden ist.

Vorteile

  1. Schnelle Herstellung für eine rasche Versorgung.
  2. Ästhetische Wiederherstellung des Lächelns.
  3. Verbesserung der Kaufunktion während der Behandlung.
  4. Individuelle Anpassung für höchsten Komfort und Ästhetik.
  5. Einfache Integration in den Behandlungsplan.

Unsere Leistungen im Überblick

Kostenvoranschlag für Zahnersatz

Sie möchten im Zuge der Planung einer prothetischen Versorgung für Ihren Patienten einen Kostenvoranschlag erstellen? Dann nutzen Sie unser Formular:

So erreichen Sie uns

Kontakt

Zögern Sie nicht, uns zu kontaktieren. Sei es per E-Mail, Telefon oder direkt über unser Online-Anfrageformular. Wir sind gespannt auf Ihre Nachricht und setzen alles daran, Ihre Anliegen umgehend zu bearbeiten.


Montag 08:30 - 17:00 Uhr
Dienstag 08:30 - 17:00 Uhr
Mittwoch 08:30 - 17:00 Uhr
Donnerstag 08:30 - 17:00 Uhr
Freitag 08:30 - 14:00 Uhr

Jetzt Anfrage stellen


Nach oben